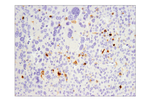
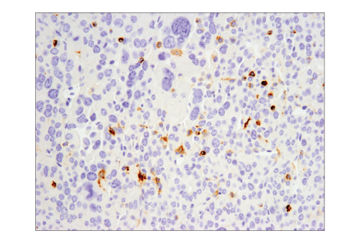
PD-L1 (D5V3B) Rabbit mAb (Mouse Specific; IHC Specific)
目录号:64988S
计量单位:PC
商品规格:100ul
分享商品:
                                        无规格
                                    
                                
                                    这是用户近期浏览商品预览.
只要用户查看过一个商品这个片断就会显示.
                                只要用户查看过一个商品这个片断就会显示.